Cas clinique du Dr Fyad : Traitement d'un pectus avec asymétrie mammaire

Clinical Case presented by Dr. Fyad: Breast Asymmetry Caused by a Pectus

Diagnosis and surgery of a Funnel Chest by Dr. Fyad, plastic surgeon in Nancy (France):

Case presentation

Implant surgery

Conclusions

Bibliography

Case presentation

A 17-year-old patient initially consulted for a breast asymmetry that was disturbing her to choose clothes. She noticed that her right breast was smaller than her left breast and was looking for a mammary augmentation.

Photos of a woman’s Pectus Excavatum with breast asymmetry

During the examination, we observe indeed, an asymmetry of the breast projection due to a pectus excavatum (right side). The right breast "falls" into the thoracic deformity, explaining the lack of volume. The patient also has a significant areolar dystopia. Furthermore, due to the skeletal deformity, the right areola steers inward.

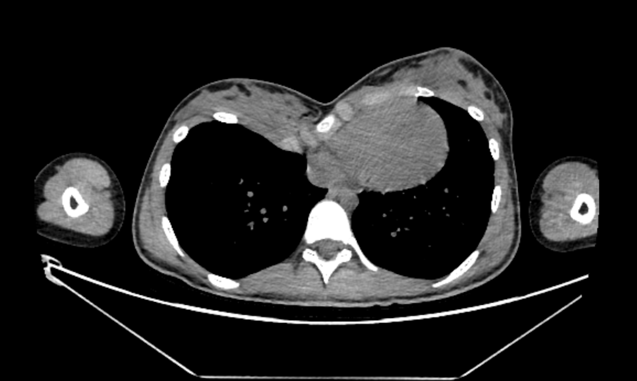
The CT scan confirms the clinical diagnosis. Correcting the bone deformity should be enough to treat the lack of breast volume. Other conventional treatments such as breast implants augmentation or fat grafting are impossible or inappropriate.

CT Scan of the Funnel Chest of a woman

Surgery

The patient agreed to treat the bone deformity first without the classical breast augmentation.

The Pectus Excavatum operation was performed according to Professor Chavoin’s procedure: pre-op drawing, medial approach, retropectoral dissection, no drain, day surgery.

Before/after picture of a woman’s pectus, perOp

Postoperative recovery was easy. Puncture of a 35ml subcutaneous seroma was performed on day 15. Result 3 months later : the patient is satisfied and has no more issue to get dressed. No pain was reported. Presence of hypoesthesia in the cranio-medial quadrant of the left breast.

Before/after picture of a woman’s pectus, 3/4 view

Before/after picture of a woman’s pectus, profile view

Areolar dystopia persists, but does not bother her. The scar evolves favorably. No request for breast augmentation.

Conclusion

Note from Jean-Pierre Chavoin, Dr. Fyad’s trainer on the 3D implant technique:

Breast asymmetry is a common concern among young women and can impact their self-confidence and daily comfort. The misalignment of areolas, due to a sunken chest, contributes to the perception of an asymmetry, worsening the aesthetic aspect of the chest. It is recommended in this case, to correct the underlying cause, i.e., the thoracic malformation, to naturally improve the appearance of the chest.

Finally, the patient was not willing to get a breast augmentation as the 3D custom-made implant was sufficient to naturally project the chest, which is often the case in woman’s pectus excavatum.

Author

Dr. Fyad is a plastic surgeon in Lorraine, Nancy. He has a Complementary Specialized Studies Diploma (DESC) in plastic, aesthetic, and reconstructive surgery. He is also an experienced university lecturer and a surgeon at Nancy hospitals from 2001 to 2004.

Contact Dr Fyad

 

Discover the innovative technique of 3D custom-made implants
to treat Pectus Excavatum:

a simple surgery with low pain,
immediate and precise results, fast recovery.

Pectus Treatment

Before/after photo of a woman's pectus treated with a 3D implant